Семирічній франківчанці потрібна допомога на операцію (реквізити)

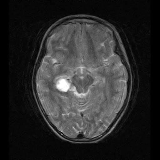
Семирічній Марічці з Івано-Франківська діагностували пухлину головного мозку.

Дівчинці потрібна операція за кордоном, інформує Фіртка.

Про це у соціальній мережі повідомила подруга мами Марічки Тетяна Оперук.

"Після довгих консультацій з лікарями вирішили оперувати за кордоном, зараз обирають клініку, але суми на такі операції захмарні, тому сім’я звертається за допомогою", - йдеться у дописі.

Реквізити: Леся Палюга (Приватбанк) 4731 2191 1705 6337 Телефон: +380964336548.

Фотогалерея


10.04.2019 1740
Коментарі ()

24.04.2026
Вікторія Матіїв

«Він був не лише військовим, а передусім людиною — справедливою та принциповою. Упродовж усього життя вірив у незалежну Україну і вважав, що її потрібно відстоювати — у різні періоди й різними способами. Навіть ті, хто не поділяв його поглядів, розуміли: він діє не зі злості, а з глибокого переконання, — пригадує Наталія Савченко свого чоловіка, полеглого воїна Сергія Савченка.

2809
20.04.2026
Вікторія Косович

Сьогодні Артем Жицький поєднує фітнес і відновлення, працюючи з військовими, які повертаються до цивільного життя. Про мотивацію, виклики реабілітації та те, чому відновлення після війни є процесом без фінальної точки, ветеран розповів в інтерв'ю журналістці Фіртки.

1351
14.04.2026
Вікторія Матіїв

Журналістка Фіртки поспілкувалась з лікарем-генетиком, професором кафедри медичної біології та медичної генетики Івано-Франківського національного медичного університету Русланом Козовим про те, що насправді означає «спадковість», які генетичні дослідження сьогодні доступні в Україні, що хвилює пацієнтів, та як правильно планувати вагітність, щоб мінімізувати ризики.

3828
10.04.2026
Михайло Бойчук

Як насправді виглядає ситуація з нелегальним гральним бізнесом в Івано-Франківській області? Фіртка отримала офіційну статистику від правоохоронних органів та регулятора азартних ігор ПлейСіті. Але перед цим — про проблему загалом, щоб на контрасті зрозуміти ситуацію в регіоні. 

3833 1
07.04.2026
Діана Струк

Як відновлюють Палац, навіщо місту фестивалі під час війни і яким стане цей культурний осередок через кілька років — про це Фіртці розповів директор Простору інноваційних креацій «Палац» Володимир Гайдар.

2480
03.04.2026
Олександр Мізін

Підроблені акти, незаконні рішення рад і чорні реєстратори — основні схеми захоплення державних лісів у 2025-2026 роках.

3630 1

Івано-Франківськ в колаборації з Буковелем приймають вже третю за сто років Зимову Олімпіаду...

278

Проблема України й українського народу не нова — і багато хто в світі цього не розуміє, тому й думають, що все «вирішиться саме собою». Такі твори, як «Тигролови», кажуть про абсолютно протилежне — все вирішимо лише ми самі.

520

В Івано-Франківську про літературний Станіславський феномен говорили його патріархи Володимир Єшкілєв та Тарас Прохасько.  Володимир Єшкілєв, який власне придумав бренд літературного «Станіславського феномену», уявляв собі його як «мікрорайон в місті».

3283

В євангельському описі останніх днів земного життя Ісуса Христа ми зустрічаємо імена постатей, які прямо або опосередковано мали відношення до Страстей Христових. 

1487
24.04.2026

Час останнього прийому їжі може впливати на здоров’я не менше, ніж її склад.  

4576
20.04.2026

Регулярне вживання алкоголю призводить до серйозних порушень роботи шлунково-кишкового тракту, печінки, підшлункової залози, органів дихання, нирок і статевих залоз.

9640
16.04.2026

Війна та стрес суттєво впливають на харчові звички.

8842 2
24.04.2026

У суботу, 2 травня, у відпустовому Марійському центрі «Цариці вервиці» в селі Погоня відбудеться особлива молитовна зустріч біля чудотворної ікони Богородиці.

1162
20.04.2026

У сучасному світі християнські цінності, зокрема — вчення про чистоту до шлюбу, нерідко стають предметом дискусій. Але християнство залишається послідовним у своїй позиції: дошлюбні статеві стосунки — гріх.

5856
15.04.2026

Старий сидів біля оазису, біля входу в одне близькосхідне місто. До нього підійшов юнак і запитав...

6184
12.04.2026

Священник наголошує: значення Великодня неможливо зрозуміти без усвідомлення ролі Воскресіння. Отець нагадав слова апостола Павла: «Якби Ісус не воскрес, то намарна була б наша віра і намарною була б наша проповідь».

1892
22.04.2026

Палац Потоцьких — не лише пам’ятка архітектури в центрі Івано-Франківська. Це живий культурний осередок, де історія, наука, мистецтво та креативні ініціативи переплітаються у щоденній роботі простору.

3256
29.04.2026

Коли кілька днів тому принц Гаррі з Києва звернувся до Трампа з закликом згадати про Будапештський меморандум та «зробити більше для підтримки України», президент США жорстко відповів та заявив, що саме він говорить від імені Великої Британії більше, ніж сам принц.

208
20.04.2026

В Болгарії в неділю, 19 квітня, переконливу перемогу (44,7%) отримала коаліція "Прогресивна Болгарія" на чолі з колишнім президентом країни Руменом Радевим, якого вважають проросійським політиком.

728
15.04.2026

Минулої неділі в Угорщині відбулися вибори парламенту. Цікаво, що всі три партії, які пройшли до парламенту є правими, — жодної лівої чи ліберальної партії в угорській політичній реальності «немає».

1626
08.04.2026

Банальна приказка каже, що «безкоштовний сир буває лише в мишоловці». Тобто, що немає ніде, включно з економікою нічого безкоштовного. Завжди хтось буде змушений заплатити.

1833